发布日期:2025-11-19浏览次数:558来源:蓝景科信
2025年10月1日,浙江大学农业与生物技术学院汪俏梅教授课题组在Cell Reports(IF: 6.9)上在线发表了题为SlWRKY14 integrates carotenoid and flavonoid biosynthetic pathways to regulate coloration and quality of tomato fruits的研究论文,该研究借助DAP-seq技术揭示番茄中的WRKY转录因子SlWRKY14通过“转录激活+表观抑制”双重机制整合类胡萝卜素与类黄酮两大代谢途径,为番茄果实品质改良提供了新靶点与理论依据。蓝景科信为该研究提供了DAP-seq技术支持。
文章主要内容
研究背景
在园艺作物研究领域,番茄因其经济价值与科研模型地位,始终是学者关注的焦点。果实的色泽与营养品质,更是育种工作的核心目标。果实着色与营养品质的形成主要依赖于类胡萝卜素(如番茄红素和β-胡萝卜素)和类黄酮(如柚皮素查尔酮)等次生代谢产物的积累。但现代育种因长期追求产量和耐储运性,导致果实中类胡萝卜素、类黄酮含量显著下降。现有研究已明确两类物质的合成通路,但二者协同调控机制未知。
主要研究结果
核心发现一:SlWRKY14直接调控番茄果实色泽与代谢物积累
1. 定位候选基因SlWRKY14
此前,为解析番茄类胡萝卜素生物合成的转录调控网络,作者以SlPSY1(类胡萝卜素合成关键酶)启动子为诱饵进行了酵母单杂交(Y1H)筛选。该筛选鉴定出了SlWRKY14(基因编号Solyc12g006170),这是一种I类WRKY转录因子。并检测了SlWRKY14在三个代表性番茄品种中的表达水平。结果发现,SlWRKY14均在果实破色期(B期)表达量相对较高,并在果实成熟过程中持续维持高表达水平。
2. SlWRKY14功能验证
作者通过构建SlWRKY14 敲除株系(KO)和过表达(OE)株系,测定不同成熟阶段果实的表型、色素含量及产量相关指标,结果显示SlWRKY14 敲除株系果实呈更深红色,类胡萝卜素含量显著升高、柚皮素查尔酮含量降低;过表达株系果实呈橙黄色,类胡萝卜素含量降低、柚皮素查尔酮含量升高;KO与OE株系的果实成熟启动时间(花期到转色期天数)、乙烯释放峰值、单果重及单株总产量,与WT无显著差异;上述结果表明,SlWRKY14调控果实着色且不影响果实成熟进程。

图1 SlWRKY14调控番茄果实着色,且该过程不依赖于果实成熟进程
核心发现二:SlWRKY14通过“SlWRKY14-SlHDA1模块”表观抑制类胡萝卜素合成
1. SlWRKY14下游调控分子机制探究
为研究SlWRKY14转录调控机制,作者通过DAP-seq鉴定出SlWRKY14在基因组中的7536富集峰,对应3329个靶基因,其中有609个为启动子相关基因,并鉴定到典型的W-box motif。进一步GO和KEGG分析显示这些基因显著富集于色素代谢相关通路,其中包含类胡萝卜素和类黄酮生物合成的关键步骤。联合RNA-seq结果发现类胡萝卜素合成基因(SlDXS1、SlPSY1等)显著下调,类黄酮合成基因(SlPALA、Sl4CL等)显著上调。 SlWRKY14可能通过调控MEP途径与苯丙烷途径之间的代谢流,实现对果实色素代谢的精准调控。进一步ChIP-qPCR(体内)、EMSA(体外)、酵母单杂交(Y1H)、双荧光素酶报告实验证实,SlWRKY14直接结合SlDXS1、SlPSY1启动子并抑制其表达。
图2 SlWRKY14调控类胡萝卜素与类黄酮之间的代谢流
图3 通过DAP-seq和RNA-seq在全基因组鉴定SlWRKY14的结合位点
图4 SlWRKY14直接结合SlDXS1的启动子区域以抑制其表达
图5 SlWRKY14直接结合SlPSY1的启动子区域以抑制其表达
2. 探究SlWRKY14对类胡萝卜素生物合成碳流的转录抑制机制
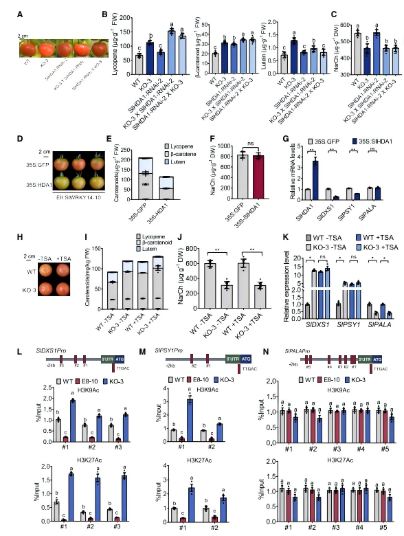
为探究SlWRKY14介导转录抑制的机制,作者以SlWRKY14为诱饵,对通过靶向Y2H实验,检测了SlWRKY14与所有已知SlHDA(组蛋白去乙酰化酶)家族蛋白的相互作用,结果显示,仅SlHDA1能与SlWRKY14发生特异性相互作用,并通过Y2H、Pull-down、Co-IP、LCI证实该结论。随后通过构建SlHDA1-RNAi株系发现SlHDA1作为SlWRKY14的共抑制因子,参与调控类胡萝卜素合成相关基因的表达。通过检测SlWRKY14敲除株系与SlWRKY14 过表达株系果实的整体组蛋白乙酰化水平、组蛋白去乙酰化酶(HDAC)活性、组蛋白去乙酰化酶抑制剂处理、ChIP等一系列实验进一步证实,SlWRKY14通过招募组蛋白去乙酰化酶SlHDA1,去除组蛋白在H3K9和H3K27位置上的乙酰基,以降低组蛋白乙酰化水平并增加染色质的紧缩状态,从而抑制SlDXS1和SlPSY1的表达和类胡萝卜素的积累,且该表观抑制不影响SlPALA的激活过程。
图6 SlWRKY14与SlHDA1存在物理相互作用

图7 组蛋白去乙酰化酶的功能性活性是SlWRKY14-SlHDA1复合物抑制类胡萝卜素生物合成基因转录所必需
核心发现三:SlWRKY14激活类黄铜生物合成通路
类黄酮是番茄果实果皮中的主要色素,由SlPAL、SlCHS、SlCHI、SlF3H等酶催化合成,DAP-seq结果显示,类黄酮合成途径中的SlPALA是SlWRKY14直接调控的靶基因,并通过ChIP-qpcr、EMSA、双荧光素酶实验证实SlWRKY14结合类黄酮合成关键基因SlPALA启动子W-box并激活其转录。与抑制类胡萝卜素合成不同,SlWRKY14激活SlPALA无需SlHDA1参与,且未检测到与组蛋白乙酰转移酶(HAT)互作,推测通过未知共激活因子调控。OE株系中SlPALA表达量提升3倍,下游类黄酮合成基因(Sl4CL、SlC4H、SlCHS)同步上调,最终推动类黄酮积累。
图8 SlWRKY14既是类黄酮生物合成的激活因子,也是类胡萝卜素生物合成的抑制因子
小结
综上所述,该研究揭示了SlWRKY14在番茄果色和品质形成中的关键作用。一方面通过直接激活类黄酮途径基因SlPALA,增强类黄酮的积累,另一方面形成SlWRKY14-SlHDA1调控模块表观抑制类胡萝卜素途径基因SlDXS1、SlPSY1,从而抑制类胡萝卜素的合成,实现番茄果色的两条代谢通路差异化调控。为番茄果实颜色及营养品质改良提供了新靶点,具有重要育种应用前景。
图9 SlWRKY14调控番茄果色和品质形成的分子机制
原文链接:https://doi.org/10.1016/j.celrep.2025.116369
